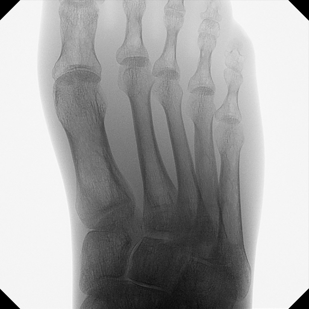
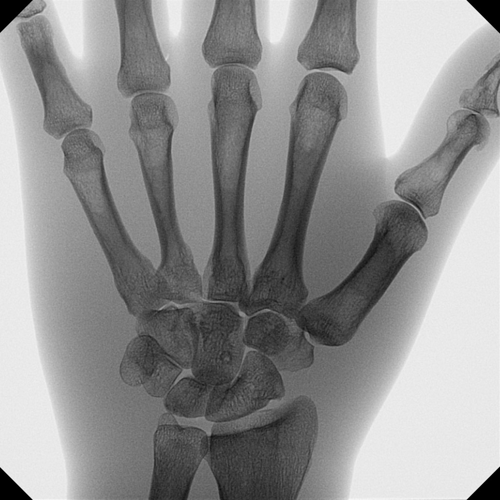
Les mini arceaux chirurgicaux améliorent considérablement la prise en charge des patients pour la chirurgie de la main et du pied.
Orthoscan propose dans ce domaine un portefeuille complet d’appareils avec fluoroscopie pulsée et capteurs plans ultramodernes, afin d’obtenir des images brillantes sans perte de qualité d’image, même pour des problèmes complexes.
Sur le TAU 2020 en particulier, le grand capteur permet de visualiser l’anatomie dans son intégralité afin de minimiser le nombre de prises de vue nécessaires. Des collimateurs motorisés à réglage continu limitent l’exposition aux rayonnements à la zone souhaitée.
Les premiers et seuls mini arceaux autorisés en pédiatrie permettent, notamment en chirurgie pédiatrique, de réduire jusqu’à 86 % la dose cumulée.1

Vous êtes curieux d'en savoir plus ?
Nous attendons votre demande avec impatience !
Clause de non-responsabilité
Utilisation de la technologie de réduction intelligente des doses (avec filtre Cu) en comparaison avec Orthoscan 1000-0004-FD. Dans la pratique, l’utilisation de l’IDR (technologie de réduction intelligente des doses) peut permettre de réduire la dose délivrée en fonction de l’intervention, de la taille du patient, de l’emplacement sur le corps et de la pratique clinique. Il convient de consulter un radiologue et un médecin afin de déterminer la dose à délivrer pour obtenir une qualité d’image appropriée à l’intervention concernée.