Hand
in hand
Text: Alessa Sailer
Photos: Juli Sing

Prof. Dr. Andreas Schweizer, head of Hand Surgery at Balgrist University Hospital, relies on his hands for both his profession and his other great passion: climbing. His enthusiasm for and experience in mountain sports spurs injured climbers from all over Europe to seek his expertise.

When you walk into the office of Prof. Dr. Andreas Schweizer, you can immediately see what makes his heart beat faster. A poster of the Matterhorn hangs above his desk, and his books on hand surgery share the shelf with climbing shoes and a chalk bag. The overall picture is clear: Prof. Schweizer loves hand surgery and mountain sports. He points to the calendar displaying the north face of the Eiger, known for its long and dangerous routes, and says, “I’ve climbed the ‘Deep Blue Sea’ route.” His two passions developed almost simultaneously during his days as a student. “I was interested in climbing even as a child, but I didn’t know anyone who did it. Then, at university, I met a friend who also wanted to climb. That’s how it all started,” recalls Andreas Schweizer. Back then, in the early 1990s, there was only one climbing gym in Zurich. Today, the sport is booming, in Switzerland and around the world. But as the number of climbers increases, so does the number of injuries. Climbers prefer to be examined and operated on at Balgrist University Hospital if conservative treatment is not an option. The reason hand surgery appeals to Andreas Schweizer is obvious: “I have always found the biomechanics of the hand fascinating. Then I took up climbing, and of course, injuries are an issue. That’s how my specialty became clear.”

Prof. Schweizer was president of the International Rock Climbing Resource Association for two years and is now an honorary member. He has published several books, including the now out-ofprint climbing manual ‘Vertical Secrets’. In addition to his work in medical and climbing technique research, the physician is involved in the physiology and science of training. He also takes his teaching duties very seriously, regularly supervising groups of students and inspiring them to take an interest in hand surgery.
Teamwork is a priority in Prof. Schweizer’s operating room. Instead of perfoming as many procedures as possible himself, he teaches younger doctors by letting them carry out the procedures. Prof. Schweizer’s calm and focused manner is evident in the operating room from start to finish. He monitors every step of the assisting physician with a focused gaze through his magnifying glasses. During the first operation of the day — the removal of an enchondroma, a benign cartilage tumor in the finger bone — he acts as a mentor.

However, an operation requires not only a surgical team, but also imaging. Since 2009, Balgrist has relied on mini C-arms from Orthoscan
for hand surgery. Each of the three operating rooms dedicated to hand surgery is equipped with one of these devices, ensuring imaging is always available. There is also an additional mini C-arm for emergencies. Depending on the procedure, a TAU 1515 or a TAU 2020 is used. The TAU 2020, for example, is used in forearm surgery, where more anatomy has to be visualized. In spring 2025, Balgrist received two state-of-the-art mini C-arms with a completely redesigned imaging chain. Prof. Schweizer is convinced by the quality of the clinical images.
Another advantage is the very low dose achieved through pulsing. It is also possible to operate directly on top of the C-arm detector and position the hand or forearm on it for fluoroscopy, keeping it as far away from the generator as possible. “We had the Federal Office of Public Health here to measure radiation levels. One meter away, no radiation was detected,” reports Prof. Schweizer, emphasizing that this makes him feel very safe in the operating room. Another advantage of the mini devices is that they can be maneuvered more quickly and easily than full-size C-arms.

Balgrist University Hospital stands out from other institutions not only because of its state-of-the-art technical equipment and innovative medical services, but also because of its staff. The Zurich surgical team can always rely on Rajeekaran Sithamparapillai, who is responsible for the medical equipment in the operating room. He checks the settings if doctors notice an issue, fixes minor discrepancies himself, and contacts the representative of Leuag, the Swiss distribution partner of Ziehm Imaging and Orthoscan, for additional assistance when needed.

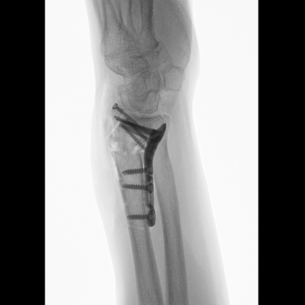
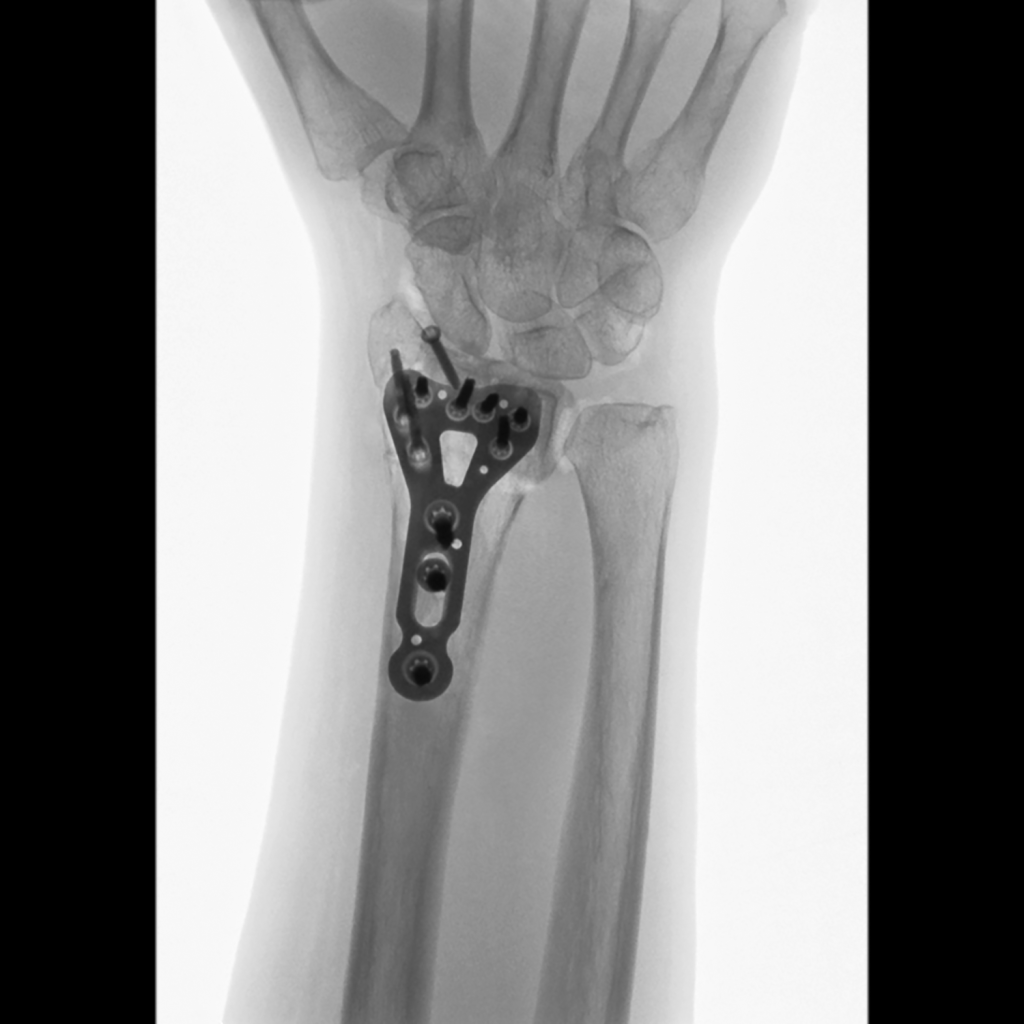
The hand surgery team operates on 12 to 16 cases per week in three of eight operating rooms. Additionally, patients come in for consultations. On average, two to four people with climbing injuries seek advice each week. “For example, they want a realistic assessment of when they will be able to climb again if their general practitioner says it is no longer possible,” explains the hand surgeon. “In fact, we operate on only a handful of them each year because most climbing injuries can be treated without surgery.” Prof. Schweizer and his team most frequently operate on people with carpal tunnel syndrome and fractures. They also often perform corrective osteotomies. These are necessary when fractures have not been treated or have been treated inadequately. If the forearm bones grow together incorrectly, it can lead to restricted movement and pain. During a corrective osteotomy, the surgeon sections the affected bone so that the pieces can be repositioned and secured with screws in proper alignment. “In complex cases, planning such an operation can take several hours,” emphasizes Prof. Schweizer. To ensure the bones are precisely fitted together at the correct angle, the hand surgeon uses computer assisted research and development (CARD) blocks customized for each patient. Based on a Japanese model, the physician developed these 3D-printed templates himself and introduced them at Balgrist. They facilitate precise sawing and screw placement. Operations using CARD blocks now take place weekly, setting the university hospital apart from other institutions. “Depending on the case, we are 30 to 50 percent faster. A shaft osteotomy takes only two hours instead of four,” explains Prof. Schweizer.


Working closely with his surgical team, Prof. Schweizer takes advantage of the technologies at his disposal: These include 3D blocks and mini C-arms, which provide reliable images for checking the position of bones, wires, screws, and plates. For Prof. Schweizer, his work and hobby go hand in hand because “When operating, it’s definitely an advantage to have a bit of strength.” His good finger strength enables him to sustain his body weight on even the smallest climbing handholds, as well as to safely and precisely guide surgical instruments during procedures.
About Balgrist University Hospital
Balgrist University Hospital is a highly specialized center of excellence for the clarification, treatment, and follow-up care of conditions affecting the musculoskeletal system. Medically, the range of services is divided into the fields of orthopedics, paraplegiology, rheumatology and physical medicine, sports medicine, neuro-urology, chiropractic, radiology, and anesthesiology.
The broad spectrum of integrated therapies is complemented by nursing care, as well as social, insurance-related, and psychological counselling, alongside vocational reintegration measures and rehabilitation. All activities are aimed at providing patients with the greatest possible support.
With its research infrastructures Balgrist Campus and OR-X, Balgrist University Hospital sets internationally recognized standards in orthopedic research and education. The private sponsor of Balgrist University Hospital is the Schweizerischer Verein Balgrist (Balgrist Association of Switzerland).
Hand Surgery in Numbers
The Department of Hand Surgery, led by Prof. Dr. med. Andreas Schweizer, covers the entire spectrum of hand and peripheral nerve surgery, regardless of the cause, the clinical issue, or the complexity of treatment. Highly specialized knowledge and skills, techniques, and materials come together to ensure the best possible application in patient care. In 2024, the Department of Hand Surgery recorded 496 inpatient discharges, 1,607 hand procedures (including 1,002 surgeries), and 9,720 medical consultations.



